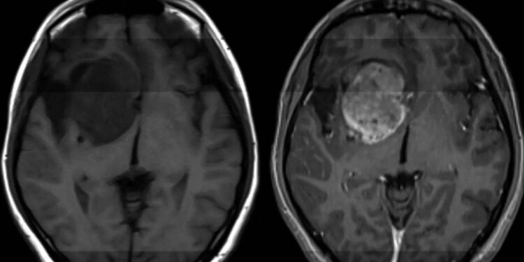
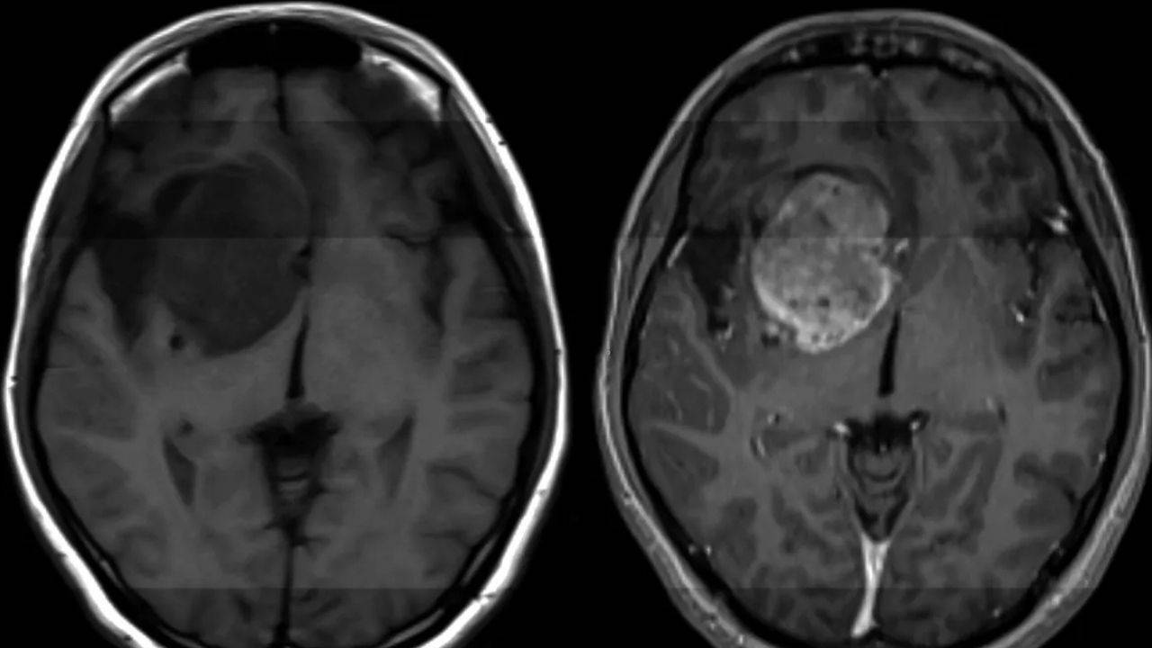
Glioblastom, tıbbın bugün hâlâ etkili bir çözüm üretemediği en yıkıcı kanser türlerinden biri olarak biliniyor. ABD’de her yıl on binlerce kişiye bu tanı konulurken, hastaların büyük bölümü tanıdan sonra yalnızca 12–18 ay yaşayabiliyor. Şimdi ise bilim insanları, bu tabloyu değiştirebilecek yeni bir biyolojik zayıf noktaya ulaştıklarını duyurdu.
GLİOBLASTOMUN “ZAYIF NOKTASI” TESPİT EDİLDİ
University of Virginia Tıp Fakültesi Patoloji Bölümü’nden araştırmacı Hui Li, glioblastomun gelişimini tetikleyen özgün bir onkogenin yıllar önce tanımlandığını hatırlattı. Bu genin, tümör hücrelerinin hayatta kalması için kritik bir rol oynadığı belirlendi. Araştırmacılar, bu yapının “Aşil topuğu” niteliğinde olduğunu vurguluyor.

TÜMÖR HÜCRELERİNİ HEDEF ALAN YENİ MOLEKÜL
Ekip, son çalışmada söz konusu onkogenin faaliyetini durdurabilen özel bir molekül tanımladı. Fareler üzerinde yapılan deneylerde bu molekülün, sağlıklı beyin dokusuna zarar vermeden glioblastom hücrelerini yok ettiği görüldü. Araştırmacılar, bu yaklaşımın bugüne kadar tedavide kullanılmamış tamamen yeni bir biyolojik yolak hedeflediğini belirtiyor.
KAN-BEYİN BARİYERİNİ AŞABİLMESİ KRİTİK AVANTAJ
Glioblastom tedavisinin önündeki en büyük engellerden biri, ilaçların kan-beyin bariyerini geçememesi. Ancak bu yeni molekülün, bariyeri aşabildiği ve yalnızca kanserli hücreleri etkilediği ifade ediliyor. Bu özellik, yöntemi mevcut yaklaşımlardan ayıran en önemli unsur olarak öne çıkıyor.
GELECEKTE HAP TEDAVİSİ MÜMKÜN OLABİLİR
Araştırmacılara göre molekülün küçük yapısı, ileride ağızdan alınan bir ilaç formuna dönüştürülmesini teorik olarak mümkün kılıyor. Elbette bunun için kapsamlı klinik deneyler, güvenlik testleri ve uzun bir onay süreci gerekiyor. Yine de uzmanlar, glioblastom için onlarca yıldır değişmeyen tedavi seçeneklerine karşı bu gelişmenin önemli bir kırılma noktası olabileceğini söylüyor.
“HASTALARIN DAHA İYİ SEÇENEKLERE İHTİYACI VAR”
Hui Li, standart tedavilerin onlarca yıldır büyük ölçüde aynı kaldığını ve sağkalım oranlarının son derece düşük olduğunu vurguluyor. Amaçlarının, glioblastom biyolojisindeki temel bir zafiyeti hedefleyen tamamen yeni bir etki mekanizmasını klinik uygulamaya taşımak olduğunu ifade ediyor.
***Mutluluk, adalet, özgürlük, hukuk, insanlık ve sevgi paylaştıkça artar***




































