Kahramanmaraş’ta akciğer kanseri teşhisi konulan N.T.’nin (52) koronavirüs testi pozitif çıktı. Ameliyat öncesi Covid-19 tedavisi gören N.T.’ye yapılan tetkikler sonucu koronavirüsün akciğer kanserini taklit ettiği tespit edildi. Akciğer kanseri ameliyatı yapılaması planlanan hasta, Kovid-19’un taklit ettiği ‘tümör’ ortadan kalkınca ameliyat olmaktan kurtuldu.
Göğüs Cerrahi Ana Bilim Dalı Öğretim Üyesi Dr. Fatoş Kozanlı, koronavirüsün akciğer kanserini taklit ettiğini ve bunun dünya tıp literatüründe bir ilk olduğunu söyledi
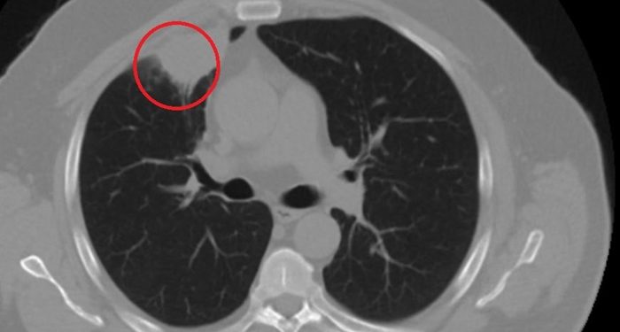
Cumhuriyet’in haberine göre, şehir dışında çalışan N.T.’nin, göğüs ağrısı şikayetiyle gittiği hastanede çekilen tomografisinde sağ akciğerinde 4 santimetre çapında tümör tespit edildi. Kanser olabileceği şüphesiyle yapılan ileri tetkikler sonrası N. T.’ye akciğer kanseri teşhisi kondu ve acil ameliyat kararı verildi. Bunun üzerine N.T., ameliyat için memleketi Kahramanmaraş’a geldi. Sütçü İmam Üniversitesi Sağlık Uygulama ve Araştırma Hastanesi Göğüs Cerrahi Anabilim Dalı Öğretim Üyesi Dr. Fatoş Kozanlı da tomografi ve test sonuçlarına göre N. T.’ye akciğer kanseri teşhisi koydu ve ameliyat yapılması gerektiğini söyledi.
‘KANSER OLSAYDI TÜMÖRÜN ORTADAN KALKMASI MÜMKÜN DEĞİLDİ’
Ameliyat öncesi N.T.’nin Covid-19 testi pozitif çıkınca operasyon ertelendi. Koronavirüs tedavisine başlanan N.T.’nin son testi negatif çıktı. Dr. Fatoş Kozanlı, tedavi sonrası tomografisi çekilen N.T.’nin akciğerindeki tümörün yok olduğunu gördü. Kozanlı, N.T.’nin kendilerine başvurduğunda koronavirüs belirtisi olmadığını ancak ameliyat öncesi PCR testi yaptıklarını söyledi. Koronavirüs tedavisinin ardından ortaya çıkan sonucun kendisini de şaşırttığını belirten Kozanlı, şunları söyledi:
“Hastamız, çalıştığı başka bir kentte göğsünden darbe alıyor ve ağrıları geçmeyince bir üniversite hastanesine başvuruyor. Burada hastaya bir akciğer grafisi çekiliyor. Sağ akciğerinde bir kitleye rastlanıyor. Daha sonra hastaya, bir akciğer tomografisi çekiliyor ve göğüs cerrahisi için önemli büyüklükte olan 4 santimetre çapında, akciğer kanserine benzer özellikte radyolojik bulgular olan bir kitle tespit ediliyor. Daha sonra hastaya yapılan ileri tetkiklerde akciğer kanseri teşhisi konuluyor. Hastaya bir cerrahi planlanıyor. Hasta Kahramanmaraşlı olduğu için kendi memleketine gelmeyi tercih ediyor. Bize başvurdu ve göğüs ağrısı şikayeti vardı. Öksürük, nefes darlığı, balgam çıkarma, ateş gibi şikayetleri yoktu.”
“Hastayı biz de değerlendirdik ve ameliyat olmasına karar verdik. Çünkü akciğer kanserine çok benzer radyolojik bulguları vardı. Sağlık Bakanlığımızın kuralları gereği her hastayı ameliyat öncesi PCR testi yapılır. Biz de ameliyat gecesi hastadan PCR testi aldık ve testi pozitif geldi. Ameliyatımızı 14 gün erteledik ve hastamıza koronavirüs tedavisi uygulandı. Hasta 14’üncü gün tekrar bize başvurdu ve yapılan PCR testi negatif çıktı. Yeni bir tomografi çektik ve tümörün tamamen ortadan kalktığını gördük. Şimdi sonuç bilgilerinden başlangıca gittiğimizde, bu bir akciğer kanseri olsaydı, ortadan kalkması mümkün değildi. Başka bir patolojiye bağlı durum olsaydı, yine verdiğimiz tedaviyle ortadan kalkmasını çok beklemeyiz. Antiviral tedavisi verdik ve hastanın radyolojik bulguları neredeyse tamamen normale döndü. Hastaya bunu izah ettik, ‘Dünya literatüründe hiç görülmeyen bir radyolojik bulgu’ diyerek. Bu gördüğümüz manzara artık hastanın akciğer grafisinde yok, akciğer kanseri değil. ”
***Mutluluk, adalet, özgürlük, hukuk, insanlık ve sevgi paylaştıkça artar***





































